About Grillo Dental



Serving the South Windsor Community for over 40 years
Grillo Dental has been a mainstay of Hartford, South Windsor and the surrounding communities since Dr. Robert Grillo first opened the practice in 1980. He relocated to a new, state-of- the-art facility in 2008, and his son, Dr. Zachary Grillo, joined the office in 2011. Since its inception, the practice has been known for its caring staff and professional services. Both Dr. Robert and Dr. Zachary have a service-first mentality stemming from working in their family’s well-known South Windsor restaurant, Lucian’s. Says Dr. Zachary, “We make it a priority to give our patients the highest level of service and attention.”
Continuing Dental Excellence
Dr. Zachary and Dr. Ethan Cope now service the majority of patients and provide treatment for those who need extensive work, while Dr. Robert continues to diagnose patients and do treatment planning.
Kelly, a patient, says she was very impressed when she first met Dr. Zachary. “He read through my health history and he already knew everything about me,” she says. “He eased my fears and answered my questions.”




Comprehensive Dental Services in One Location
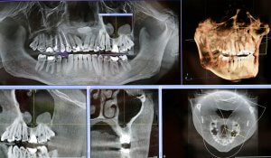
Grillo Dental provides a wide range of services that can be completed all in one office—from general dentistry services for the entire family to dental implants and full-mouth rejuvenation. The office is fully equipped with high-tech equipment and tools, enabling the doctors to treat even the most complex of cases.
Meet the Team

Emilia
Emilia started working for Grillo Dental over 30 years ago when she began as a part-time office helper. Emilia graduated from Baypath Junior College with an associate degree in business administration. Emilia is the practice business manager and treament coordinator. She assists patients with financing, sets office policies and aids the front desk staff with scheduling, patient benefits and treatment planning. Emilia resides in Coventry with her husband, sons and crazy cat, Snickers. She is an avid reader and soccer fan, and she loves to spend time with extended family and friends.

Lorena
Lorena is our patient care and treatment coordinator who joined the Grillo Dental team in 2013. She graduated from Rockville High School and earned a certification through Goodwin College. Lorena lives in Vernon with her two children. Her free time is spent going on new adventures, trying new foods and having lazy days with movies and snacks! Lorena is dedicated to improving patients’ experience and helping our team grow.

Andrea
Andrea, our patient coordinator, joined the Grillo Dental team in 2018. She has over 25 years of customer service experience and graduated from Central Connecticut State University. Andrea enjoys welcoming patients to our office and dental family, and she assists them with scheduling, insurance and treatment plans. Andrea is happy to schedule new patients over the phone or in person. She has lived in South Windsor for over 30 years with her husband, and they have raised their three children there. Andrea enjoys DIY projects, creating care packages/gift baskets for family and friends, neighborhood walks and coffee.

Lee
Lee is our lead dental assistant who has been with Grillo Dental for over 30 years. She was born and raised in Connecticut and currently resides in Ellington. Lee graduated from Manchester Community College with an associates degree in liberal arts. Lee loves to spend time with her family on vacation in Sarasota, Florida. In her spare time, you can find her reading or out on a long hike. Lee is dedicated to supporting the Grillo Dental team, which she fondly calls her “second family.”

Jennifer
Jennifer joined Grillo Dental in 2013. After raising her children and working in the restaurant industry, she decided to become a dental assistant. She has lived in Connecticut for most of her life and currently resides in East Windsor. When she’s not working she enjoys gardening and spending time with her dog. She is dedicated to helping her patients achieve their dental goals and working together with our team to create an excellent experience for patients.

Emily
Emily has been working in the dental field since 2020 and a dental assistant at Grillo Dental since 2022. Emily enjoys the wide variety of services the office provides and staying up-to-date with the latest advancements in dental technology. Emily’s Fridays are spent with her therapy dog, Rippley, visiting patients at Hartford Hospital. In her free time, she enjoys reading, baking, hiking and taking frequent trips to Maine.

Ann Marie
Ann Marie is our lead dental hygienist and a graduate of Forsyth School where she earned her bachelors degree in dental hygiene. Ann Marie has been a hygienist for over 25 years and has been with Grillo Dental since 2015. Ann Marie loves her job treats her patients like family. Ann Marie is a lifelong resident of South Windsor and resides with her husband, son and German shepherd. Ann Marie loves traveling, cooking, snowmobiling and watching her son race at Stafford Motor Speedway.

Angi
Angi is a registered dental hygienist and a graduate of Tunxis Community College. Angi joined the Grillo Team in 2019 and has over 35 years of experience in the dental field. She has always been dedicated to treating her patients with compassion and kindness. Angi is a lifelong Connecticut resident who enjoys quality time with her family, reading, ironing and solving crossword puzzles.

Georgia
Georgia is a registered dental hygienist who began her career as a dental assistant in 1996. She has a passion for dentistry and was inspired to become a dental hygienist and furthered her education at Springfield Technical Community College. Georgia loves giving back to her community; she volunteers at Connecticut Mission of Mercy, a free dental clinic, and has been a COVID-19 vaccinator at various clinics across the state. Georgia is caring, understanding and works hard to ensure her patients have a positive dental experience. In her free time, she enjoys culinary experiences with her daughter, visiting the beach, gardening, traveling and keeping up to date with the latest dental technology.

Jerry
Jerry is our office therapy dog. He is a hypoallergenic Portuguese Waterdog who has been with Dr. Zachary Grillo’s family since 2016. Jerry enjoys long naps, belly rubs and treats. Jerry can’t wait to see you at the office!
